2017-11-03

最近,派森諾生物與廣東省微生物研究所合作,繼在《Frontiers in Immunology》發表相關研究成果之后,又在《Oncotarget》(最新影響因子:5.168)發表文章,報道了來自猴頭菇的多糖提取物及酒精性提取物通過對炎性腸病大鼠的腸道微生物調節,從而發揮免疫調節作用,同時驗證了猴頭菇多糖提取物可起到益生元的作用,為臨床炎性腸病的預防及治療提供了寶貴參考意義。
1 研究背景
炎性腸病(Inflammatory bowel disease,IBD)是一種慢性腸道炎癥性疾病,其癥狀表現為腹痛、腹瀉、便血和體重減輕等。據報道,目前IBD在全世界范圍內發病率均有增加。
目前IBD的發病機制尚不清楚,猜測與遺傳、免疫功能障礙、環境及心理因素有關。對于IBD的治療,尚無特異性強而毒副作用小的藥物。針對IBD開發具有確切治療效果且毒副作用低的新型藥物,具有重要的科學意義和臨床價值。
猴頭菇是著名的藥食兩用真菌,它具有豐富的二萜類化合物、類固醇與多糖等功能活性成分;另外有報道稱,其提取物成分具有提高機體免疫力,抗致病菌等功效,這些都為臨床治療IBD提供了更多的可能性。
2 研究方法
測序技術:Illumina MiSeq高通量測序平臺
測序模式:微生物組16S rRNA基因V3-V4區測序
實驗設計:
1、TNBS誘導的IBD大鼠中猴頭菇提取物效應的實驗設計

2、TNBS誘導的IBD小鼠中猴頭菇多糖提取物益生元效應實驗設計

3、猴頭菇提取物用于IBD預防與治療的活性成分及作用方式
]
3 研究結果
3.1 猴頭菇提取物對IBD大鼠臨床及組織學特征的改善
治療14天后的免疫組化及組織HE染色結果顯示,猴頭菇提取物處理組對于大鼠結腸損傷有顯著改善。
3.2 猴頭菇提取物有效改善免疫調控
通過對治療14天后的血清細胞因子進行檢測,發現猴頭菇提取物可有效調節促炎細胞因子與抗炎細胞因子,使其顯著下調或者上調;另外加入猴頭菇提取物的處理組可有效抑制髓過氧化物酶的表達,起到降低IBD大鼠炎性腸病癥狀的作用,同時表明猴頭菇提取物可作為潛在治療IBD癥狀的藥物的價值。

3.3 猴頭菇提取物可有效改善腸道菌群結構
對大鼠糞便樣品進行高通量測序,結果顯示猴頭菇酒精性提取物處理組與正常組的腸道菌群更加相似,多糖提取物處理組與模型組的腸道菌群相似,而猴頭菇全提取物處理組與正常組和模型組腸道菌群都不一樣;這表明猴頭菇酒精性提取物可做為猴頭菇的主要活性物質,將IBD大鼠的腸道菌群調節為正常結構。

基于糞便樣品屬水平菌群Metastats分析結果顯示,猴頭菇提取物處理組與模型組之間存在顯著差異,并可有效調節潛在的促炎微生物,如Corynebacterium、Staphylococcus、Ruminococcus、Roseburia、Dorea、Sutterella含量降低,以及潛在的抗炎微生物,如Bacteroides、Bifidobacterium、Prevotella、Parabacteroides、Coprococcus、Desulfovibrio、Lactobacillus富集,使其豐度更加接近正常組,尤其是酒精性提取物處理組,效果更加明顯。

3.4 猴頭菇多糖提取物對IBD小鼠益生元效應研究
對小鼠隨機進行多組處理后,通過檢測血清細胞因子等臨床指標,發現猴頭菇多糖提取物處理組,特別是組合雙歧桿菌治療組的細胞因子水平恢復的最好,甚至一些臨床參數要好于對照組;

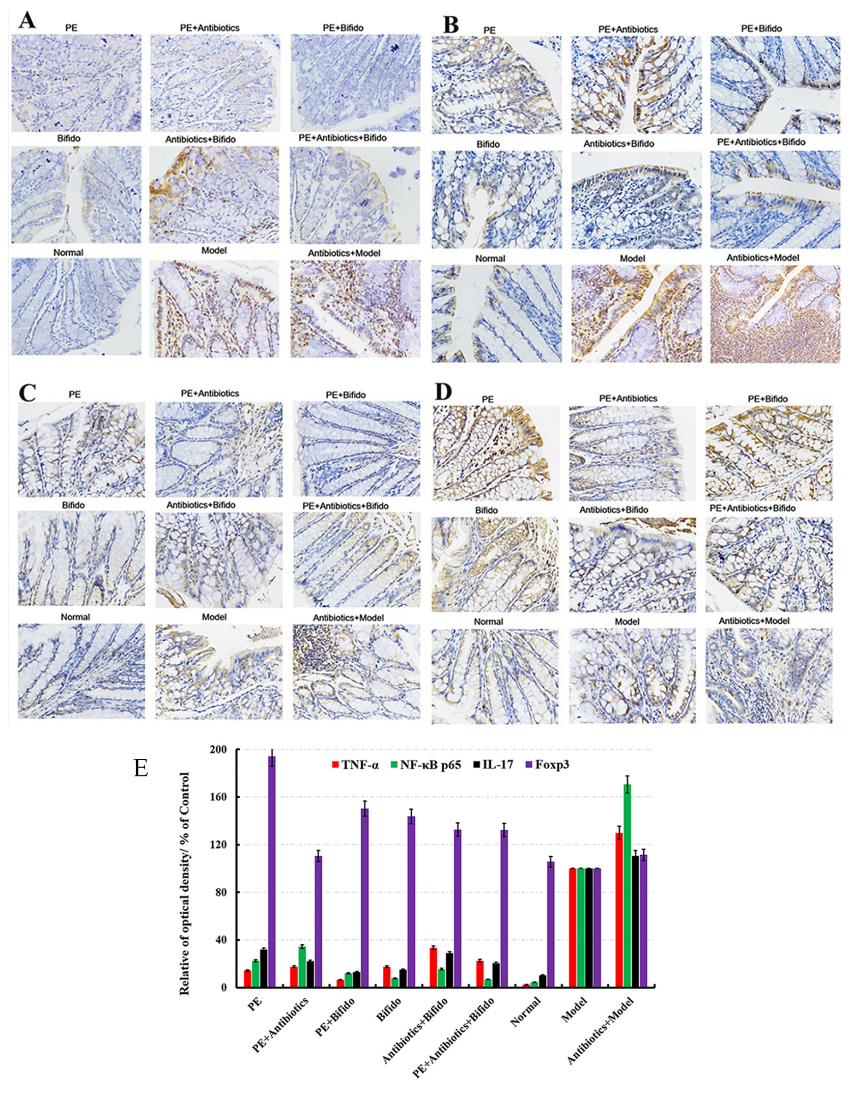
免疫組化染色結果顯示,猴頭菇多糖提取物組合雙歧桿菌治療組治療效果明顯好于模型組組合抗生素處理組,其中NF-κB、TNF-α與IL-17在多糖組合雙歧桿菌治療組中表達顯著降低,而Foxp3表達量顯著增加;

對小鼠盲腸內容物樣品進行高通量測序,不同處理組菌群結果顯示,猴頭菇多糖提取物可顯著增加盲腸內容物中雙歧桿菌的含量,降低主要由Bacteroides spp.、B. vulgatus、Desulfovibrio spp.等引起的在血清及炎癥中的LPS水平;以上結果均表明多糖提取物可用作益生元。

4 總結
本研究亮點:
1、項目前期通過免疫組化等試驗驗證猴頭菇提取物對于炎性腸病的抗炎效果;
2、結合高通量測序結果,進一步說明猴頭菇提取物的抗炎作用是通過改變小鼠腸道菌群,進而產生的免疫調節機制,并且發現酒精性提取物的作用效果更加顯著;
3、深入研究發現,猴頭菇多糖提取物可起到益生元的作用。
綜合以上結果,更加全面的驗證猴頭菇提取物可通過調節腸道菌群及免疫系統緩解炎性腸病的臨床潛力。
本研究的高通量測序和部分生物信息分析工作由上海派森諾生物科技股份有限公司合作完成。
參考文獻
Chen D, Yang X, Zheng C, et al. Extracts from Hericium erinaceus relieve inflammatory bowel disease by regulating immunity and gut microbiota[J]. Oncotarget, 2017.
原文鏈接:
