2017-11-23
好消息!最近,派森諾生物與河南農業大學杜向黨教授團隊合作,對4株新分離的具有多重耐藥性和高毒力特性的碳青霉烯類耐藥肺炎克雷伯氏菌(Carbapenem-resistant Klebsiella pneumoniae,CRKP)進行全基因組測序研究,成果以“Correspondence”的形式順利發表在醫學界權威刊物《柳葉刀》旗下子刊《The Lancet Infectious Diseases》(最新影響因子:19.864)!可喜可賀!
研究背景
2016年,《The Lancet Infectious Diseases》曾發表一篇流行病學研究論文,報道了一起由ST11型碳青霉烯類耐藥高毒力肺炎克雷伯菌(ST11 CR-HvKP)感染引起的致命呼吸道相關肺炎流行病例。揭示了一個令人擔憂的細菌演化現象——在碳青霉烯類耐藥肺炎克雷伯氏菌(CRKP)中同時存在由質粒介導的多重抗性和高毒力特性,這無疑是對肺炎克雷伯氏菌感染防控工作的巨大挑戰。
基于此背景,河南農業大學研究人員做了一項調查碳青霉烯類耐藥高毒力肺炎克雷伯菌(CR-HvKP)在中國的回溯研究(未發表)。在2011年至2016年間,研究人員分別從臨床患者和動物體內分離了253株和102株肺炎克雷伯氏菌,并篩選碳青霉烯酶基因(blaOXA-48-liker,blaIMP,blaVIM,blaKPC和blaNDM)和毒力基因(rmpA, rmpA2,iucA,和iroN)。
測序平臺:PacBio RS II&Illumina MiSeq
研究結果:
從人類患者中分離出的四株CRKP菌株同時具有blaKPC-2,rmpA,rmpA2,iucA和iroN基因。該4株菌均屬于ST11菌株,對碳青霉烯類抗生素和其他抗生素耐藥,其中菌株KP267對替加環素耐藥(如表1)。
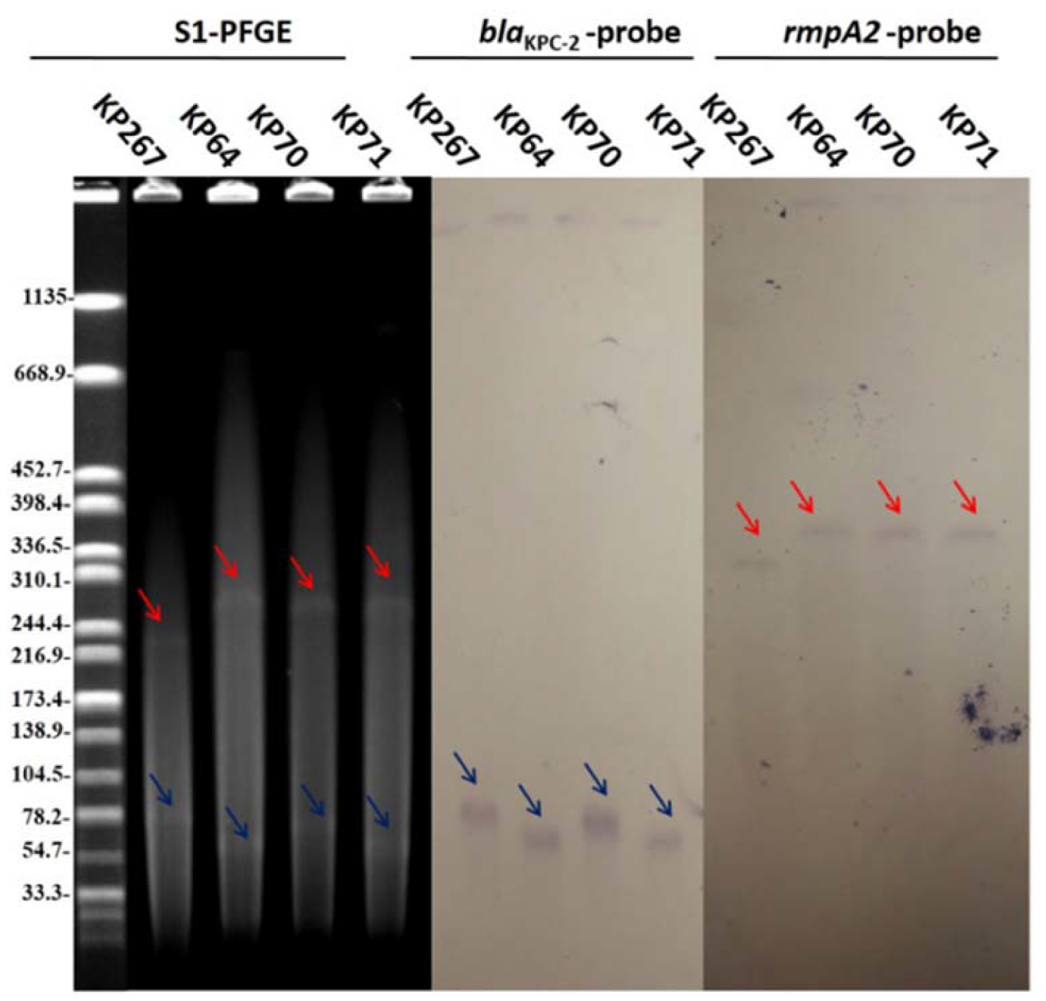
S1-PFGE電泳和Southern雜交結果顯示,該4株CRKP菌株攜帶了兩種不同類型的質粒——攜帶毒力基因質粒(280kb或230kb)和編碼blaKPC-2基因質粒(54kb或78kb;如圖1)。
為了研究CR-HvKP菌株KP267對替加環素產生抗性的機制,研究人員對KP267菌株進行了全基因組和質粒基因組的測序。結果顯示,兩完整質粒大小分別為233,479 bp和57,689 bp。其中較大質粒pVir-CR-HvKP267(NCBI登錄號MG053312)與毒力質粒pLVPK(NCBI登錄號AY378100)高度同源(見圖2);較小質粒pKPC-CR-HvKP267(NCBI登錄號MG053313)攜帶blaKPC-2基因(如圖3),與S1-PFGE電泳和Southern印跡結果一致。

除了blaKPC-2基因,質粒pKPC CR-HvKP267還攜帶了其他抗生素抗性基因,包括tet(A)突變體,bla LAP-2,qnrS1,aac(3)-IId,dfrA1和sulI。將pKPC-CR-HvKP267質粒攜帶的tet(A)突變體基因經EcoRⅠ消化克隆至pBluescript載體,轉化至DH5α大腸桿菌中,可賦予大腸桿菌替加環素抗性,表明tet(A)突變體在KP267中介導替加環素抗性。
總結:
肺炎克雷伯菌是獲得性感染相關的條件致病菌,在全世界范圍內,該菌常引起難治愈性感染。隨著多藥耐藥肺炎克雷伯氏菌的增加,其已經成為一嚴重的公共衛生負擔。CR-HvKP中tet(A)突變體基因的存在可能進一步限制了該病原的治療選擇。
本研究的全基因組測序和拼接注釋工作由派森諾生物完成。
文章索引
Hong Yao, Shangshang Qin, Sheng Chen, et al.
河南農業大學相關報道鏈接:
